یکی از بهترین روش های برطرف کردن ناهنجاری های فک و دندان درمان ارتودنسی میباشد؛ این درمان علاوه بر زیبایی و افزایش اعتماد به نفس باعث سلامت دهان و دندان شما نیز میشود، بزرگترین دغدغه ی بیمار این است که چه نوع ارتودنسی بهتر است؟ باید گفت با توجه به ناهنجاری های فک و دندان، سن بیمار و نظر ارتودنتیست باید نوع آن را تعیین کرد. ما در این مقاله انواع مختلف ارتودنسی را از سایت دکتر مهدیه خسروی به شما معرفی می کنیم، تا انتها با ما باشید.
بهترین روش ارتودنسی
یکی از شاخه های علم دندان پزشکی ارتودنسی میباشد که متخصص ارتودنسی با توجه به شرایط بیمار از لحاظ سن وسال، الگو های بایت و ناهنجاری های فک ودندان به تشخیص و نوع درمان می پردازد، .برای انتخاب بهترین روش ارتودنسی ابتدا باید با انواع ارتودنسی آشنا باشید و از مزایا و معایب آن مطلع شوید.
انواع ارتودنسی
ارتودنسی فلزی (سنتی)
از نوع ارتودنسی ثابت وجزء قدیمی ترین ارتودنسی ها محسوب میشود، امروزه تغییراتی داده شده سایزسیم ها و براکت ها کوچکتر شده است، همچنان از روش های رایج ارتودنسی است. از مزایای این روش می توان گفت، برای همه نوع نا هنجاری فک و دندان مفید است وهزینه ی مناسب دارد. از معایب آن می توان گفت شاید بعضی افراد مایل نباشند که ارتودنسی آن ها مشخص باشد.

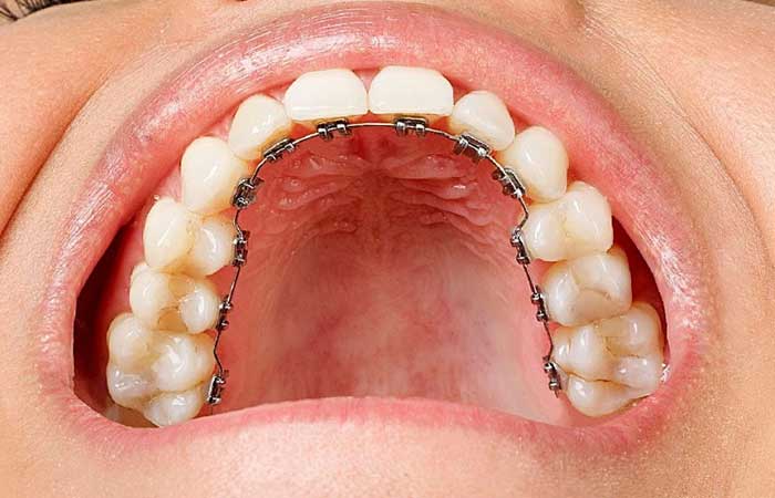
ارتودنسی پشت دندانی
این ارتودنسی رایج نیست و تفاوتش با ارتودنسی فلزی در این است بریس های فلزی به پشت دندان ها چسبیده است، از نوع ارتودنسی نامرئی محسوب می شود، نام دیگر آن ارتودنسی لینگوال است، تنها مزیتی که دارد این است که از دید اطرافیان مخفی است.معایب آن می توان به موارد زیر اشاره کرد، نصب و تنظیم آن برای ارتودنتیست مشکل است، هزینه ی بالا دارد، مراقبت و تمیز کردن آن سخت است، شاید در ابتدای ارتودنسی فرد احساس درد و ناراحتی کند.
ارتودنسی نامریی با پلاک های روشن و شفاف
این روش یک روش نوین ارتودنسی است و در بین بزرگسالان از محبوبیت خاصی برخوردار است؛ از نوع ارتودنسی نامریی به حساب می آید. کمتر کسی متوجه ارتودنسی شما می شود. از مزایای آن می توان گفت که محدودیت غذایی ندارد، از دید اطرافیان نامریی میباشد و معایب آن؛ هزینه ی بالایی دارد، برای کودکان مناسب نیست، طول درمان آن بیشتر از سایر روش هاست، امکان گم شدن پلاک ها وجود دارد، پلاک ها امکان تغییر رنگ و فرم دارند، برای درمان انواع ناهنجاری ها مناسب نیستند، طول درمان این روش بیشتراز سایر روش ها است.
ارتودنسی سرامیکی
این ارتودنسی عملکردی شبیه ارتودنسی فلزی دارد، فقط بااین تفاوت که از براکت های شفاف و هم رنگ دندان استفاده می شود، از نوع ارتودنسی ثابت به حساب می آید. مزایای آن کمتر به چشم می آیند و سرعت نتیجه بخشی آن ها بیشتر از سایر روش ها است، از معایب ای روش میتوان گفت هزینه ی این روش ازهزینه روش فلزی بیشتراست، امکان تغییر رنگ براکت ها وجود دارد.

ارتودنسی دیمون
این روش ارتودنسی مدرن از روش فلزی می باشد که در آن روش لغزشی در طراحی آن به کاررفته، به این صورت که سیم های ارتودنسی با جابجایی دندان خود به خود تنظیم می شوند و نیازی به مراجعه ی پی درپی به ارتودنتیست ندارد. از مزایای این روش میتوان گفت : سرعت بالایی در درمان دارد، درد کمتر، رعایت نکات بهداشتی آن ساده تر می باشد. از معایب آن این است که دیگران متوجه آن می شوند، هزینه ی نسبتا زیادی دارد.

برای گروه های سنی مختلف چه نوع ارتودنسی بهتر است؟
هر چند به طور قطعی نمی توان گفت برای هر بازه ی سنی چه نوع ارتودنسی بهتر است ولی با توجه به مزایا و معایب هر کدام از انواع ارتودنسی و صلاح دید متخصص ارتودنسی به شرح زیر است:
- درمان ارتودنسی برای بزرگسالان: ارتودنسی نامرئی باپلاک های روشن، ارتودنسی سرامیکی، ارتودنسی دیمون
- درمان ارتودنسی برای کودکان: ارتودنسی فلزی، ارتودنسی رنگی که از نوع ارتودنسی فلزی است، ارتودنسی سرامیکی
- درمان ارتودنسی برای نوجوانان: ارتودنسی فلزی، ارتودنسی رنگی، ارتودنسی نامرئی با پلاک های روشن، ارتودنسی سرامیکی
ملاک های لازم برای تشخیص بهترین نوع ارتودنسی
- هزینه ی مناسب و مقرون به صرفه
- درمان سریع و نتیجه ی قطعی
- حفظ زیبایی لبخند و چهره
- نامرئی بودن دستگاه های ارتودنسی
- جذابیت درمان و یکنواخت نبودن آن
- متحرک بودن آن
- تنظیم و نصب آسان
- سهولت در بهداشت وسایل و دندان ها
سخن پایانی
با مراجعه به متخصص ارتودنسی و معاینه ی دندان ها توسط ارتودنتیست با توجه به شرایط سنی، میزان مشکلات فک، ناهنجاری دندان ها و شرایط اقتصادی بیمار؛ بهترین نوع ارتودنسی را برای شما پیشنهاد می دهد، پس از اتمام مراحل آن لبخندی زیبا و جذاب به شما هدیه میدهد.
تعیین وقت مشاوره رایگان درمان ارتودنسی از دکتر مهدیه خسروی
دکتر مهدیه خسروی – متخصص ارتودنسی و ناهنجاری های فک و صورت

